Bergarbeiter Bronchitis oder Bergmann Brochitis
Der Bund schafft die Stichtagsregelung zum Dezember 2009 für Bergmanns-Bronchitis/Emphysembronchitis ab. Mit der damaligen Festsetzung eines Stichtages, nämlich des 01.01.1993, hat man die meisten Bergarbeiter-Bronchitisfälle von der Entschädigung ausgeklammert.
War der Bergarbeiter bereits 1992 krank, sollte er keine Entschädigung erhalten, somit könnte der Bergbau-Berufsgenossenschaft Millionen an
Rentenzahlungen ersparen.
Diese Stichtagsregelung ist jetzt weggefallen
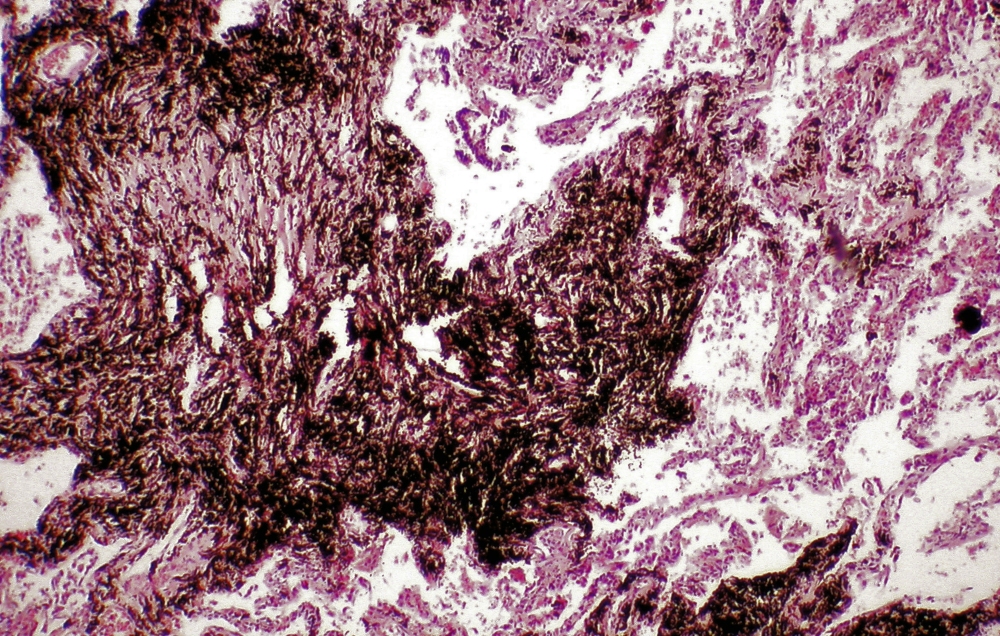
Steinstaub aus dem Bergbau
Bergarbeiter Bronchitis ist als Berufskrankheit anerkannt und hat offiziell die Nummer 4111, heißt „Chronisch obstruktive Bronchitis oder Emphysem”
Chronische obstruktive Bronchitis oder Emphysem von Bergleuten unter Tage im Steinkohlebergbau bei Nachweis der Einwirkung einer kumulativen Dosis von in der Regel 100 Feinstaubjahren ((mg/cbm) X Jahre)
Neu in der deutschen Berufskrankheitenliste ist die Berufskrankheitennummer 4111, chronische obstruktive Bronchitis oder Emphysem von Bergleuten unter Tage im Steinkohlenbergbau bei Nachweis der Einwirkung einer kumulativen Dosis von in der Regel 100 Feinstaubjahren.
So wollen es die Berufsgenossenschaften, so will es das Bundessozialgericht, so will es das Bundesarbeitsministerium.
Lassen Sie sich als Betroffener nicht beirren
Für Fälle aus der Vorzeit, also für Fälle aus den Jahren 1992, 1991 oder früher gilt zwingend die gesetzliche Vorschrift des § 551 II Reichsversicherungsordnung (Berufskrankheit nach neuer Erkenntnis im Einzelfall).
Mit der Erweiterung der Berufskrankheitenliste um eine neue Berufskrankheit ist positiv festgestellt, daß Krankheiten nach der Liste ab 01.01.1993 entschädigt werden können.
Damit ist aber nicht gesagt, daß etwa die Vorschrift des § 551 II RVO nicht angewandt werden dürfte, was die Fälle aus der Vorzeit anbetrifft.
Insofern brechen die Berufsgenossenschaft und die Gerichtsbarkeit mit einer Jahrzehnte alten Praxis, welche die Anwendung des § 551 II RVO für Fälle aus der Vorzeit einer Listenerweiterung vorsah.
Juristisch gesehen handelt es sich um einen kapitalen Fehler, wenn die Vorschrift des § 551 II RVO nicht in den Fällen aus der Vorzeit angewandt wird.
Denn es handelt sich bei dieser Vorschrift um ein Gesetz im formellen Sinne, das die Bundesregierung durch eine Rechtsverordnung gar nicht aufheben könnte.
Im Übrigen sind die Ansprüche bereits entstanden gewesen, diejenigen nach § 551 II RVO ( Berufskrankheit nach neuer Erkenntnis im Einzelfall), bevor die Berufskrankheitenliste um die neue Berufskrankheit Nr. 4111 erweitert wurde und einen Stichtag vorsah.
Vorliegend funktioniert offenbar nicht die grundgesetzlich vorgesehene Gewaltenteilung, daß nämlich die Sozialgerichtsbarkeit die berufsgenossenschaftlichen Entscheidungen, d.h. hier die Ablehnungen, kritisch zu überprüfen hat.
Außerdem ist auch das Bundessozialgericht an Gesetz und Recht gebunden, d.h. also auch an die Beachtung an der bislang nicht angewendeten Vorschrift des § 551 II RVO für die Fälle aus der Vorzeit einer Listenerweiterung
Das Bundesverfassungsgericht hat bislang nur in verspätet beschiedenen Fällen abgeholfen, nicht aber beim Großteil der um ihre Ansprüche gebrachten Bergleute.
Keiner der Bergleute, die hier betroffen sind, sollte die Sache auf sich beruhen lassen.
Wenn es Ihnen danach ist, füllen Sie bitte das ins Netz getellte Formular aus und schicken Sie es an die hiesige Kanzlei
Nur wenn alle Betroffenen sich wehren, könnte bewirkt werden, daß die Berufsgenossenschaft, die Sozialgerichtsbarkeit zur Rechtsanwendung zurückfinden.
Empörend ist, daß die einschlägigen Fälle in den letzten Jahrzehnten nicht als Berufskrankheit 4301/4302 anerkannt wurden, Bronchialasthma infolge alergisierender oder chemisch toxischer Einwirkungen.
Eine besonders tückische Variante ist der Einwand, das Bergarbeiteremphysem wäre vor dem Stichtag 01.01.1993 aufgetreten, die Silikose damals zu Unrecht anerkannt worden.
Dabei handelt es sich um die Besonderheit, daß röntgenologisch ein Bergarbeiteremphysem eine Silikose verdecken kann.

